УЗИ аппарат

Edan U60

Компактность и многофункциональность
от 770 000 ₽*
Портативный УЗИ-аппарат среднего класса U60 Edan c цветным допплером — универсальное устройство, удивляющее сочетанием компактности и многофункциональности.
Описание

Данная модель является совершенным этапом эволюции своих предшественников, отличается улучшенной эргономикой, современным оптимизированным дизайном, возможностями четкой и высокоэффективной визуализации органов.

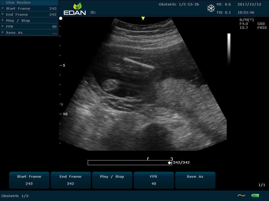
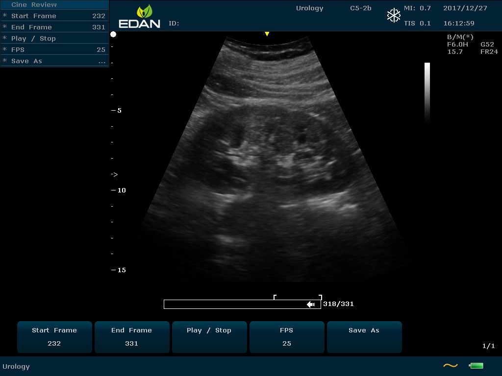
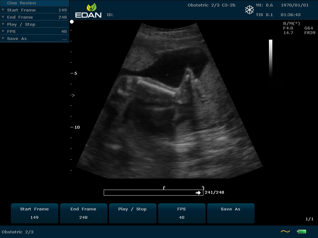
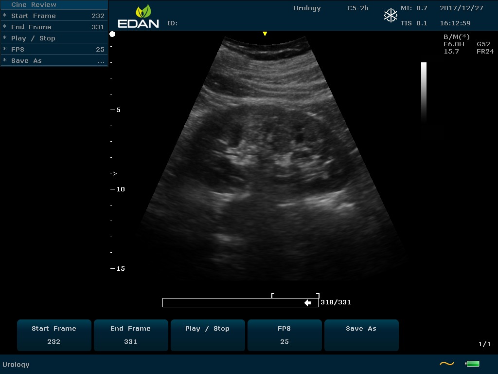
УЗИ-аппарат U60 — это переходная модель от начального к высокому классу. Он оснащен увеличенным экраном: диагональ его жидкокристаллического дисплея равна 15.6˝, что позволяет специалисту лучше видеть мельчайшие элементы изображения.

Особенность U60 Edan — расширенное применение. Ультразвуковой аппарат рекомендован для абдоминальных исследований, гинекологии и акушерства, кардиологии, педиатрии, урологии, изучения малых органов, сосудов. Для U60 Edan используются конвексные, линейные, фазированные и внутриполостные датчики.

Для удобства производитель оснастил конструкцию УЗИ-аппарата встроенными держателями датчиков. Это экономит рабочее пространство и позволяет всегда держать весь необходимый набор «под рукой».

Мобильность и свобода перемещения обеспечиваются благодаря легкому весу U60: аппарат весит не более 8,5 кг. За каждой кнопкой и клавишей закреплены определенные функции: управление отчетом, информация о пациенте, 2 кнопки SET, выбор режима и другие.

Передовые технологии позволяют повысить качество визуализации в несколько раз. УЗИ-аппарат U60 Edan отличается возможностью быстрой настройки визуализации. Специальные функции позволяют моментально отображать данные за счет быстрой оптимизации параметров. Режимы визуализации: B-mode, M-mode, Color Doppler, Power Doppler Imaging, Pulsed Wave Doppler, Continuous Doppler.

Для улучшения качества изображений в В-режиме быстро регулируются все необходимые параметры. Быстрые инструменты изображения: LowFlow, Medium Flow, High Flow, Detail, Soft, High Contrast.

Стандартная конфигурация:

  • Основной блок
  • 15 дюймовый ЖК экран
  • Два разъема для подключения датчиков
  • Цветовое Допплеровское картирование
  • Импульсная Допплерография
  • Непрерывноволновая Допплерография
  • Спектральный Допплер с высокой частотой повторения импульсов
  • Направленная энергетическая Допплерография
  • Технология составного инверсного гармонического изображения
  • Технология сложно-составного сканирования
  • Технология уменьшения спекл-шумов
  • Пакет программ измерений и вычислений
  • Мульти-языковое программное обеспечение
  • 7 карт псевдо-окрашивания

Стандартные аксессуары:

  • Предохранитель
  • Держатель датчиков
  • Сетевой кабель
  • Кабель заземления
  • Инструкция по эксплуатации
  • Краткое описание

Дополнительно:

  • Мобильная тележка
  • Сумка для транспортировки
  • Перезаряжаемая литий — ионная батарея (5000mAh)
  • Ножной переключатель (CE mark)
Характеристики
Страна изготовления КНР
Вид оборудования УЗИ аппараты
Тип Портативный
Класс Высокий
Количество портов для датчиков 2
Подогреватель геля Нет
Сегмент Частный
Область применения Общая визуализация
Поддерживаемые датчики
  • Внутриполостные
  • Конвексные
  • Линейные
  • Микроконвексные
  • Секторные фазированные
Экран, " 15
Клавиатура
  • Кнопки
Сумка/кейс для переноски Опция
Совместимость
  • U60
Прикрепленные файлы